
Immunohistochemistry analysis in human liver and placenta tissues using HPA023162 antibody. Corresponding DECR1 RNA-seq data are presented for the same tissues.
Anti-DECR1 Antibody
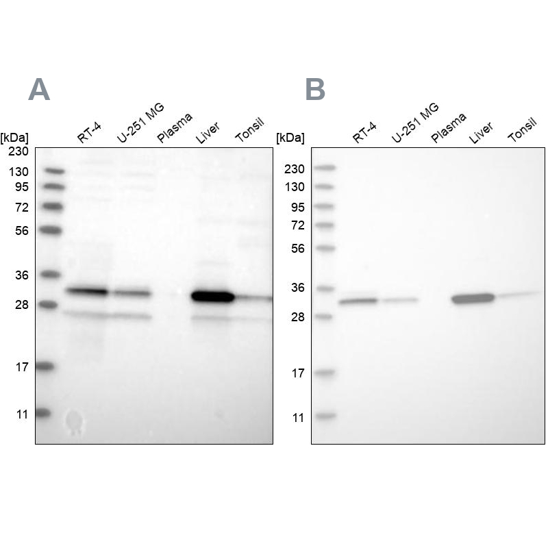
HPA023162
ApplicationsWestern Blot, ImmunoCytoChemistry, ImmunoHistoChemistry
Product group Antibodies
ReactivityHuman
TargetDECR1
Overview
- SupplierAtlas Antibodies
- Product NameAnti-DECR1
- Delivery Days Customer4
- ApplicationsWestern Blot, ImmunoCytoChemistry, ImmunoHistoChemistry
- CertificationResearch Use Only
- ClonalityPolyclonal
- ConjugateUnconjugated
- Gene ID1666
- Target nameDECR1
- Target description2,4-dienoyl-CoA reductase 1
- Target synonymsDECR, NADPH, SDR18C1, 2,4-dienoyl-CoA reductase [(3E)-enoyl-CoA-producing], mitochondrial, 2,4-dienoyl-CoA reductase 1, mitochondrial, 2,4-dienoyl-CoA reductase, mitochondrial, 4-enoyl-CoA reductase, short chain dehydrogenase/reductase family 18C member 1
- HostRabbit
- IsotypeIgG
- Protein IDQ16698
- Protein Name2,4-dienoyl-CoA reductase, mitochondrial
- Scientific DescriptionRecombinant Protein Epitope Signature Tag (PrEST) antigen sequence
- ReactivityHuman
- Storage Instruction-20°C,2°C to 8°C
- UNSPSC41116161







