
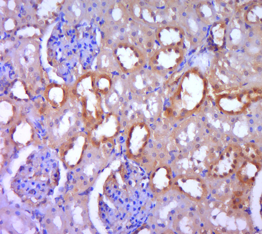
Immunohistochemical staining of human kidney shows moderate cytoplasmic positivity in renal tubules.
Anti-DGKH Antibody
HPA039533
ApplicationsImmunoHistoChemistry
Product group Antibodies
ReactivityHuman
TargetDGKH
Overview
- SupplierAtlas Antibodies
- Product NameAnti-DGKH Antibody
- Delivery Days Customer4
- ApplicationsImmunoHistoChemistry
- CertificationResearch Use Only
- ClonalityPolyclonal
- ConjugateUnconjugated
- Gene ID160851
- Target nameDGKH
- Target descriptiondiacylglycerol kinase eta
- Target synonymsDGKeta, diacylglycerol kinase eta, DAG kinase eta, diglyceride kinase eta
- HostRabbit
- IsotypeIgG
- Protein IDQ86XP1
- Protein NameDiacylglycerol kinase eta
- Scientific DescriptionRecombinant Protein Epitope Signature Tag (PrEST) antigen sequence
- ReactivityHuman
- Storage Instruction-20°C,2°C to 8°C
- UNSPSC41116161






