
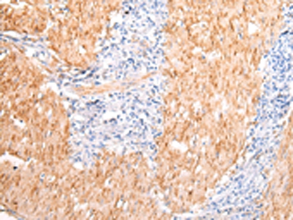
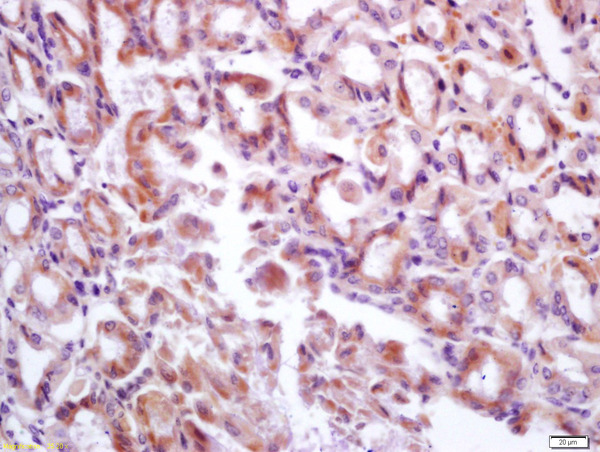
Immunohistochemistry analysis in human small intestine and pancreas tissues using HPA040778 antibody. Corresponding DMBT1 RNA-seq data are presented for the same tissues.
Anti-DMBT1 Antibody
HPA040778
ApplicationsImmunoCytoChemistry, ImmunoHistoChemistry
Product group Antibodies
ReactivityHuman
TargetDMBT1
Overview
- SupplierAtlas Antibodies
- Product NameAnti-DMBT1 Antibody
- Delivery Days Customer4
- ApplicationsImmunoCytoChemistry, ImmunoHistoChemistry
- CertificationResearch Use Only
- ClonalityPolyclonal
- ConjugateUnconjugated
- Gene ID1755
- Target nameDMBT1
- Target descriptiondeleted in malignant brain tumors 1
- Target synonymsGP340, SAG, SALSA, muclin, scavenger receptor cysteine-rich domain-containing protein DMBT1, glycoprotein 340, hensin, salivary agglutinin, salivary scavenger and agglutinin, surfactant pulmonary-associated D-binding protein, vomeroglandin
- HostRabbit
- IsotypeIgG
- Protein IDQ9UGM3
- Protein NameScavenger receptor cysteine-rich domain-containing protein DMBT1
- Scientific DescriptionRecombinant Protein Epitope Signature Tag (PrEST) antigen sequence
- ReactivityHuman
- Storage Instruction-20°C,2°C to 8°C
- UNSPSC41116161






