
Anti-DNAJC15 Antibody
A32361
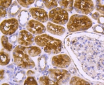
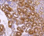
ApplicationsWestern Blot, ImmunoHistoChemistry
Product group Antibodies
ReactivityHuman, Mouse, Rat
Overview
- SupplierAntibodies.com
- Product NameAnti-DNAJC15 Antibody
- Delivery Days Customer7
- ApplicationsWestern Blot, ImmunoHistoChemistry
- CertificationResearch Use Only
- ClonalityMonoclonal
- ConjugateUnconjugated
- HostRabbit
- Scientific DescriptionRabbit monoclonal antibody to DNAJC15
- ReactivityHuman, Mouse, Rat
- UNSPSC12352203







