
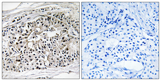
Anti-EHHADH Antibody
A97828
ApplicationsWestern Blot, ELISA, ImmunoHistoChemistry
Product group Antibodies
ReactivityHuman, Rat
Overview
- SupplierAntibodies.com
- Product NameAnti-EHHADH Antibody
- Delivery Days Customer7
- ApplicationsWestern Blot, ELISA, ImmunoHistoChemistry
- CertificationResearch Use Only
- ClonalityPolyclonal
- ConjugateUnconjugated
- HostRabbit
- IsotypeIgG
- Scientific DescriptionRabbit polyclonal antibody to EHHADH.
- ReactivityHuman, Rat
- UNSPSC12352203







