
Anti-ELOVL1 Antibody - Identical to Abcam (ab74941)
A98816
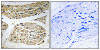
ApplicationsWestern Blot, ELISA
Product group Antibodies
ReactivityHuman, Mouse
Overview
- SupplierAntibodies.com
- Product NameAnti-ELOVL1 Antibody - Identical to Abcam (ab74941)
- Delivery Days Customer7
- ApplicationsWestern Blot, ELISA
- CertificationResearch Use Only
- ClonalityPolyclonal
- ConjugateUnconjugated
- HostRabbit
- IsotypeIgG
- Scientific DescriptionRabbit polyclonal antibody to ELOVL1.
- ReactivityHuman, Mouse
- UNSPSC12352203

