
Figure 1. Western blot analysis of ERAB using anti-ERAB antibody (PB9336). Electrophoresis was performed on a 5-20% SDS-PAGE gel at 70V (Stacking gel) / 90V (Resolving gel) for 2-3 hours. The sample well of each lane was loaded with 30 ug of sample under reducing conditions. Lane 1: human Jurkat whole cell lysates, Lane 2: human 293T whole cell lysates, Lane 3: human Hela whole cell lysates, Lane 4: human MOLT4 whole cell lysates. After electrophoresis, proteins were transferred to a nitrocellulose membrane at 150 mA for 50-90 minutes. Blocked the membrane with 5% non-fat milk/TBS for 1.5 hour at RT. The membrane was incubated with rabbit anti-ERAB antigen affinity purified polyclonal antibody (Catalog # PB9336) at 0.5 microg/mL overnight at 4°C, then washed with TBS-0.1%Tween 3 times with 5 minutes each and probed with a goat anti-rabbit IgG-HRP secondary antibody at a dilution of 1:5000 for 1.5 hour at RT. The signal is developed using an Enhanced Chemiluminescent detection (ECL) kit (Catalog # EK1002) with Tanon 5200 system. A specific band was detected for ERAB at approximately 25 kDa. The expected band size for ERAB is at 27-30 kDa.
Anti-ERAB/HSD17B10 Antibody Picoband(r)
PB9336-CARRIER-FREE
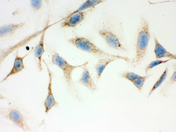
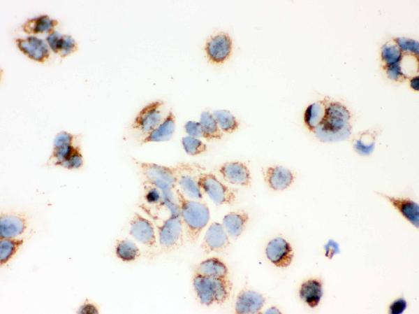
ApplicationsFlow Cytometry, ImmunoFluorescence, Western Blot, ImmunoCytoChemistry, ImmunoHistoChemistry
Product group Antibodies
ReactivityHuman
TargetHSD17B10
Overview
- SupplierBoster Bio
- Product NameAnti-ERAB/HSD17B10 Antibody Picoband(r)
- Delivery Days Customer9
- Application Supplier NoteWB: The detection limit for ERAB is approximately 0.1ng/lane under reducing conditions. Tested Species: In-house tested species with positive results. By Heat: Boiling the paraffin sections in 10mM citrate buffer, pH6.0, for 20mins is required for the staining of formalin/paraffin sections. Other applications have not been tested. Optimal dilutions should be determined by end users.
- ApplicationsFlow Cytometry, ImmunoFluorescence, Western Blot, ImmunoCytoChemistry, ImmunoHistoChemistry
- CertificationResearch Use Only
- ClonalityPolyclonal
- Concentration500 ug/ml
- Gene ID3028
- Target nameHSD17B10
- Target descriptionhydroxysteroid 17-beta dehydrogenase 10
- Target synonyms17b-HSD10, ABAD, CAMR, DUPXp11.22, ERAB, HADH2, HCD2, HSD10MD, MHBD, MRPP2, MRX17, MRX31, MRXS10, SCHAD, SDR5C1, 3-hydroxyacyl-CoA dehydrogenase type-2, 3-hydroxy-2-methylbutyryl-CoA dehydrogenase, AB-binding alcohol dehydrogenase, amyloid-beta peptide binding alcohol dehydrogenase, endoplasmic reticulum-associated amyloid beta-peptide-binding protein, mitochondrial RNase P subunit 2, mitochondrial ribonuclease P protein 2, short chain L-3-hydroxyacyl-CoA dehydrogenase type 2, short chain type dehydrogenase/reductase XH98G2
- HostRabbit
- IsotypeIgG
- Protein IDQ99714
- Protein Name3-hydroxyacyl-CoA dehydrogenase type-2
- Scientific DescriptionBoster Bio Anti-ERAB/HSD17B10 Antibody Picoband® catalog # PB9336. Tested in Flow Cytometry, IF, IHC, ICC, WB applications. This antibody reacts with Human. The brand Picoband indicates this is a premium antibody that guarantees superior quality, high affinity, and strong signals with minimal background in Western blot applications. Only our best-performing antibodies are designated as Picoband, ensuring unmatched performance.
- ReactivityHuman
- Storage Instruction-20°C,2°C to 8°C
- UNSPSC12352203













