
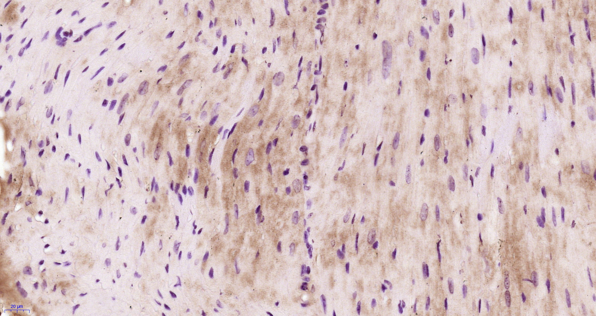
Immunohistochemistry analysis in human skeletal muscle and liver tissues using HPA006135 antibody. Corresponding FLNC RNA-seq data are presented for the same tissues.
Anti-FLNC Antibody
HPA006135
ApplicationsImmunoCytoChemistry, ImmunoHistoChemistry
Product group Antibodies
ReactivityHuman
TargetFLNC
Overview
- SupplierAtlas Antibodies
- Product NameAnti-FLNC Antibody
- Delivery Days Customer4
- ApplicationsImmunoCytoChemistry, ImmunoHistoChemistry
- CertificationResearch Use Only
- ClonalityPolyclonal
- ConjugateUnconjugated
- Gene ID2318
- Target nameFLNC
- Target descriptionfilamin C
- Target synonymsABP-280, ABP280A, ABPA, ABPL, ARVC15, CMH26, FLN2, MFM5, MPD4, RCM5, filamin-C, ABP-280-like protein, ABP-L, gamma filamin, actin binding protein 280, filamin C, gamma, filamin-2, gamma filamin
- HostRabbit
- IsotypeIgG
- Protein IDQ14315
- Protein NameFilamin-C
- Scientific DescriptionRecombinant Protein Epitope Signature Tag (PrEST) antigen sequence
- ReactivityHuman
- Storage Instruction-20°C,2°C to 8°C
- UNSPSC41116161






