
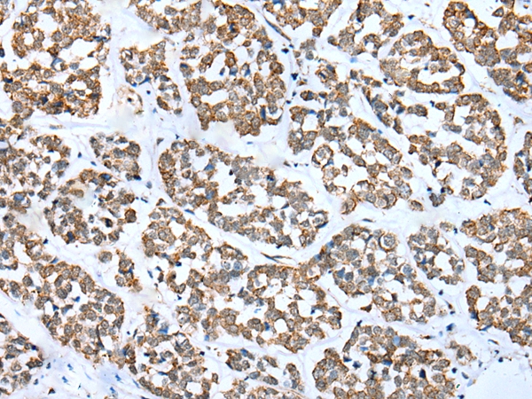
Immunohistochemical staining of human duodenum shows strong cytoplasmic and membranous positivity in glandular cells.
Anti-FSD1L Antibody
HPA035138
ApplicationsImmunoHistoChemistry
Product group Antibodies
ReactivityHuman
TargetFSD1L
Overview
- SupplierAtlas Antibodies
- Product NameAnti-FSD1L Antibody
- Delivery Days Customer4
- ApplicationsImmunoHistoChemistry
- CertificationResearch Use Only
- ClonalityPolyclonal
- ConjugateUnconjugated
- Gene ID83856
- Target nameFSD1L
- Target descriptionfibronectin type III and SPRY domain containing 1 like
- Target synonymsCCDC10, CSDUFD1, FSD1CL, FSD1NL, MIR1, FSD1-like protein, FSD1 C-terminal like, FSD1 N-terminal like, coiled-coil domain containing 10, cystatin and DUF19 domain containing 1
- HostRabbit
- IsotypeIgG
- Protein IDQ9BXM9
- Protein NameFSD1-like protein
- Scientific DescriptionRecombinant Protein Epitope Signature Tag (PrEST) antigen sequence
- ReactivityHuman
- Storage Instruction-20°C,2°C to 8°C
- UNSPSC41116161



