
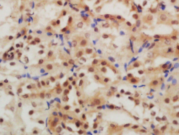
Immunohistochemical staining of human thyroid gland shows moderate nuclear positivity in glandular cells.
Anti-GLIS3 Antibody
HPA056426
ApplicationsWestern Blot, ChIP Chromatin ImmunoPrecipitation, ImmunoCytoChemistry, ImmunoHistoChemistry
Product group Antibodies
ReactivityHuman
TargetGLIS3
Overview
- SupplierAtlas Antibodies
- Product NameAnti-GLIS3 Antibody
- Delivery Days Customer4
- ApplicationsWestern Blot, ChIP Chromatin ImmunoPrecipitation, ImmunoCytoChemistry, ImmunoHistoChemistry
- CertificationResearch Use Only
- ClonalityPolyclonal
- ConjugateUnconjugated
- Gene ID169792
- Target nameGLIS3
- Target descriptionGLIS family zinc finger 3
- Target synonymsNDH, ZNF515, zinc finger protein GLIS3, GLI-similar 3, OK/KNS-cl.4, zinc finger protein 515
- HostRabbit
- IsotypeIgG
- Protein IDQ8NEA6
- Protein NameZinc finger protein GLIS3
- Scientific DescriptionRecombinant Protein Epitope Signature Tag (PrEST) antigen sequence
- ReactivityHuman
- Storage Instruction-20°C,2°C to 8°C
- UNSPSC41116161






