
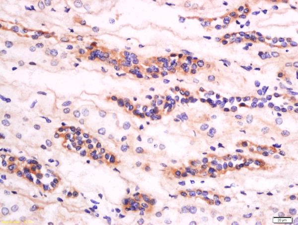
Immunohistochemistry analysis in human skin and skeletal muscle tissues using HPA008063 antibody. Corresponding GM2A RNA-seq data are presented for the same tissues.
Anti-GM2A Antibody
HPA008063
ApplicationsWestern Blot, ImmunoHistoChemistry
Product group Antibodies
ReactivityHuman
TargetGM2A
Overview
- SupplierAtlas Antibodies
- Product NameAnti-GM2A Antibody
- Delivery Days Customer4
- ApplicationsWestern Blot, ImmunoHistoChemistry
- CertificationResearch Use Only
- ClonalityPolyclonal
- ConjugateUnconjugated
- Gene ID2760
- Target nameGM2A
- Target descriptionganglioside GM2 activator
- Target synonymsGM2-AP, GM2AP, SAP-3, ganglioside GM2 activator, GM2 ganglioside activator, GM2-activator protein, cerebroside sulfate activator protein, shingolipid activator protein 3, sphingolipid activator protein 3
- HostRabbit
- IsotypeIgG
- Protein IDP17900
- Protein NameGanglioside GM2 activator
- Scientific DescriptionRecombinant Protein Epitope Signature Tag (PrEST) antigen sequence
- ReactivityHuman
- Storage Instruction-20°C,2°C to 8°C
- UNSPSC41116161






