
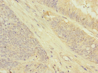
Immunohistochemical staining of human prostate shows strong cytoplasmic positivity in smooth muscle cells.
Anti-GRPEL2 Antibody
HPA023211
ApplicationsWestern Blot, ImmunoCytoChemistry, ImmunoHistoChemistry
Product group Antibodies
ReactivityHuman, Mouse, Rat
TargetGRPEL2
Overview
- SupplierAtlas Antibodies
- Product NameAnti-GRPEL2 Antibody
- Delivery Days Customer4
- ApplicationsWestern Blot, ImmunoCytoChemistry, ImmunoHistoChemistry
- CertificationResearch Use Only
- ClonalityPolyclonal
- ConjugateUnconjugated
- Gene ID134266
- Target nameGRPEL2
- Target descriptionGrpE like 2, mitochondrial
- Target synonymsMt-GrpE#2, grpE protein homolog 2, mitochondrial
- HostRabbit
- IsotypeIgG
- Protein IDQ8TAA5
- Protein NameGrpE protein homolog 2, mitochondrial
- Scientific DescriptionRecombinant Protein Epitope Signature Tag (PrEST) antigen sequence
- ReactivityHuman, Mouse, Rat
- Storage Instruction-20°C,2°C to 8°C
- UNSPSC41116161
![Lane 1: Marker [kDa] 230, 130, 95, 72, 56, 36, 28, 17, 11. Lane 2: Human cell line RT-4. Lane 3: Human cell line U-251MG sp Lane 1: Marker [kDa] 230, 130, 95, 72, 56, 36, 28, 17, 11. Lane 2: Human cell line RT-4. Lane 3: Human cell line U-251MG sp](https://atlasantibodies.s3.amazonaws.com/images/wb/hpa023211-wb-1.jpg)




