
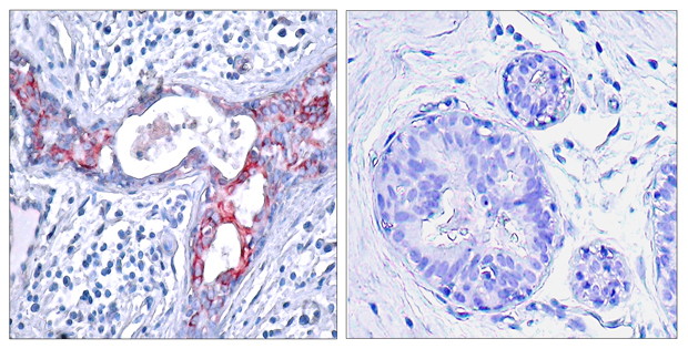
Anti-GSK3 beta (phospho Ser9) Antibody - Identical to Abcam (ab131097)
A94909
ApplicationsImmunoPrecipitation, Western Blot, ELISA, ImmunoHistoChemistry
Product group Antibodies
ReactivityHuman, Mouse, Rat
Overview
- SupplierAntibodies.com
- Product NameAnti-GSK3 beta (phospho Ser9) Antibody - Identical to Abcam (ab131097)
- Delivery Days Customer7
- ApplicationsImmunoPrecipitation, Western Blot, ELISA, ImmunoHistoChemistry
- CertificationResearch Use Only
- ClonalityPolyclonal
- ConjugateUnconjugated
- HostRabbit
- IsotypeIgG
- Scientific DescriptionRabbit polyclonal antibody to GSK3 beta (phospho Ser9).
- ReactivityHuman, Mouse, Rat
- UNSPSC12352203



