
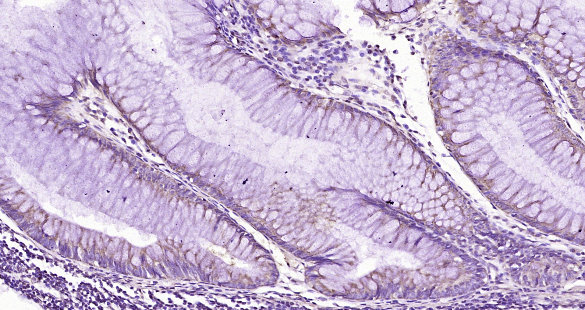
Immunohistochemical staining of human duodenum shows strong membranous positivity in glandular cells.
Anti-HCN3 Antibody
HPA026584
ApplicationsImmunoHistoChemistry
Product group Antibodies
ReactivityHuman
TargetHCN3
Overview
- SupplierAtlas Antibodies
- Product NameAnti-HCN3 Antibody
- Delivery Days Customer4
- ApplicationsImmunoHistoChemistry
- CertificationResearch Use Only
- ClonalityPolyclonal
- ConjugateUnconjugated
- Gene ID57657
- Target nameHCN3
- Target descriptionhyperpolarization activated cyclic nucleotide gated potassium channel 3
- Target synonymspotassium/sodium hyperpolarization-activated cyclic nucleotide-gated channel 3
- HostRabbit
- IsotypeIgG
- Protein IDQ9P1Z3
- Protein NamePotassium/sodium hyperpolarization-activated cyclic nucleotide-gated channel 3
- Scientific DescriptionRecombinant Protein Epitope Signature Tag (PrEST) antigen sequence
- ReactivityHuman
- Storage Instruction-20°C,2°C to 8°C
- UNSPSC41116161




