
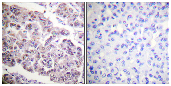
Anti-Histone H4 (acetyl Lys12) Antibody - Identical to Abcam (ab61238)
A94792
ApplicationsImmunoFluorescence, Western Blot, ELISA, ImmunoHistoChemistry
Product group Antibodies
ReactivityHuman, Mouse, Rat
Overview
- SupplierAntibodies.com
- Product NameAnti-Histone H4 (acetyl Lys12) Antibody - Identical to Abcam (ab61238)
- Delivery Days Customer7
- ApplicationsImmunoFluorescence, Western Blot, ELISA, ImmunoHistoChemistry
- CertificationResearch Use Only
- ClonalityPolyclonal
- ConjugateUnconjugated
- HostRabbit
- IsotypeIgG
- Scientific DescriptionRabbit polyclonal antibody to Histone H4 (acetyl Lys12).
- ReactivityHuman, Mouse, Rat
- UNSPSC12352203



