
Anti-HSP60 Antibody - Identical to Abcam (ab53109)
A95220
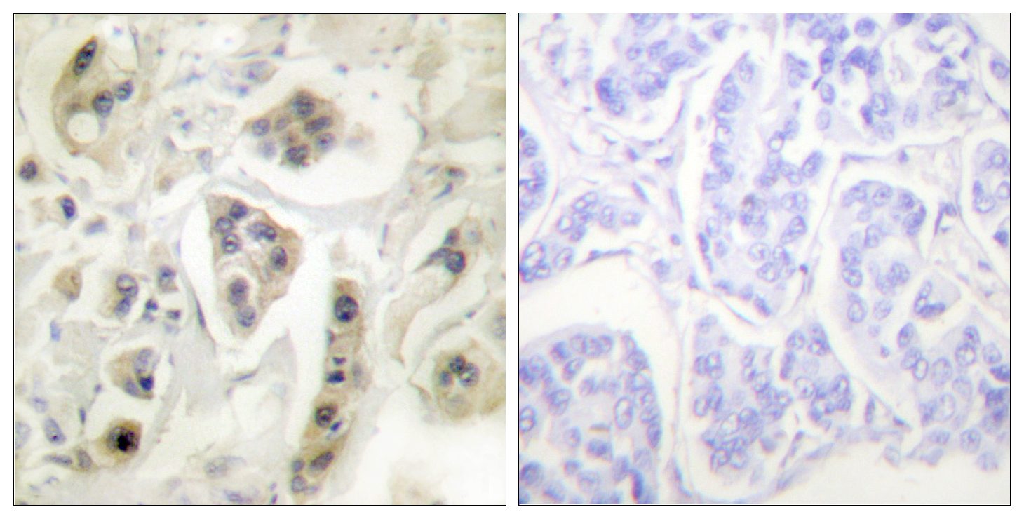
ApplicationsImmunoFluorescence, Western Blot, ELISA, ImmunoHistoChemistry
Product group Antibodies
ReactivityHuman, Mouse, Rat
Overview
- SupplierAntibodies.com
- Product NameAnti-HSP60 Antibody - Identical to Abcam (ab53109)
- Delivery Days Customer7
- ApplicationsImmunoFluorescence, Western Blot, ELISA, ImmunoHistoChemistry
- CertificationResearch Use Only
- ClonalityPolyclonal
- ConjugateUnconjugated
- HostRabbit
- IsotypeIgG
- Scientific DescriptionRabbit polyclonal antibody to HSP60.
- ReactivityHuman, Mouse, Rat
- UNSPSC12352203



