
Figure 1. Western blot analysis of IGF1 Receptor using anti-IGF1 Receptor antibody (A00070). Electrophoresis was performed on a 5-20% SDS-PAGE gel at 70V (Stacking gel) / 90V (Resolving gel) for 2-3 hours. The sample well of each lane was loaded with 50ug of sample under reducing conditions. Lane 1: mouse liver tissue lysates. After Electrophoresis, proteins were transferred to a Nitrocellulose membrane at 150mA for 50-90 minutes. Blocked the membrane with 5% Non-fat Milk/ TBS for 1.5 hour at RT. The membrane was incubated with rabbit anti-IGF1 Receptor antigen affinity purified polyclonal antibody (Catalog # A00070) at 0.5 ug/mL overnight at 4 then washed with TBS-0.1%Tween 3 times with 5 minutes each and probed with a goat anti-rabbit IgG-HRP secondary antibody at a dilution of 1:10000 for 1.5 hour at RT. The signal is developed using an Enhanced Chemiluminescent detection (ECL) kit (Catalog # EK1002) with Tanon 5200 system. A specific band was detected for IGF1 Receptor at approximately 155KD. The expected band size for IGF1 Receptor is at 155KD.
Anti-IGF1 Receptor/Igf1r Antibody Picoband(r)
A00070-CARRIER-FREE
ApplicationsWestern Blot, ELISA, ImmunoHistoChemistry
Product group Antibodies
TargetIgf1r
Overview
- SupplierBoster Bio
- Product NameAnti-IGF1 Receptor/Igf1r Antibody Picoband(r)
- Delivery Days Customer9
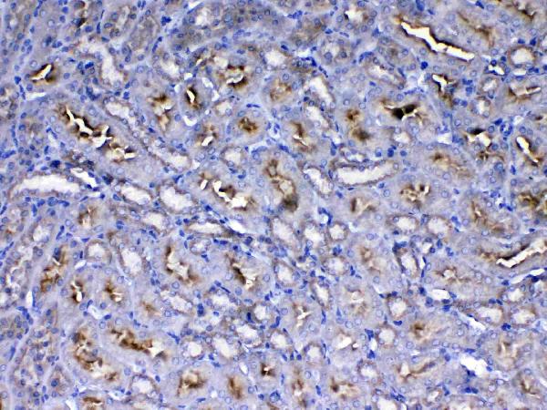
- Application Supplier NoteTested Species: In-house tested species with positive results. By Heat: Boiling the paraffin sections in 10mM citrate buffer, pH6.0, for 20mins is required for the staining of formalin/paraffin sections. Other applications have not been tested. Optimal dilutions should be determined by end users.
- ApplicationsWestern Blot, ELISA, ImmunoHistoChemistry
- CertificationResearch Use Only
- ClonalityPolyclonal
- Concentration500 ug/ml
- Gene ID16001
- Target nameIgf1r
- Target descriptioninsulin-like growth factor I receptor
- Target synonymsA330103N21Rik; CD221; D930020L01; hyft; IGF-; IGF-1R; IGF-I receptor; insulin-like growth factor 1 receptor; line 186
- HostRabbit
- IsotypeIgG
- Protein IDQ60751
- Protein NameInsulin-like growth factor 1 receptor
- Scientific DescriptionBoster Bio Anti-IGF1 Receptor/Igf1r Antibody Picoband® catalog # A00070. Tested in ELISA, IHC, WB applications. This antibody reacts with Mouse, Rat. The brand Picoband indicates this is a premium antibody that guarantees superior quality, high affinity, and strong signals with minimal background in Western blot applications. Only our best-performing antibodies are designated as Picoband, ensuring unmatched performance.
- Storage Instruction-20°C,2°C to 8°C
- UNSPSC12352203


