
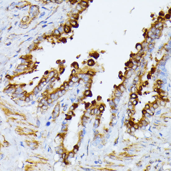
Immunohistochemical staining of human parathyroid gland shows strong cytoplasmic positivity in glandular cells.
Anti-ITPR2 Antibody
HPA059144
ApplicationsImmunoHistoChemistry
Product group Antibodies
ReactivityHuman
TargetITPR2
Overview
- SupplierAtlas Antibodies
- Product NameAnti-ITPR2 Antibody
- Delivery Days Customer4
- ApplicationsImmunoHistoChemistry
- CertificationResearch Use Only
- ClonalityPolyclonal
- ConjugateUnconjugated
- Gene ID3709
- Target nameITPR2
- Target descriptioninositol 1,4,5-trisphosphate receptor type 2
- Target synonymsANHD, CFAP48, INSP3R2, IP3R2, inositol 1,4,5-trisphosphate-gated calcium channel ITPR2, IP3 receptor, IP3R 2, cilia and flagella associated protein 48, type 2 InsP3 receptor
- HostRabbit
- IsotypeIgG
- Protein IDQ14571
- Protein NameInositol 1,4,5-trisphosphate-gated calcium channel ITPR2
- Scientific DescriptionRecombinant Protein Epitope Signature Tag (PrEST) antigen sequence
- ReactivityHuman
- Storage Instruction-20°C,2°C to 8°C
- UNSPSC41116161




