
Anti-KCNK9 Antibody
A16247
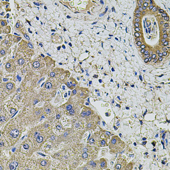
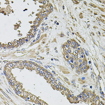
ApplicationsWestern Blot, ImmunoHistoChemistry
Product group Antibodies
ReactivityHuman, Mouse, Rat
Product A16247 is not available
Product not available
There may be an alternative product available, please contact our technical support team.
Overview
- SupplierAntibodies.com
- Product NameAnti-KCNK9 Antibody
- Delivery Days Customer7
- ApplicationsWestern Blot, ImmunoHistoChemistry
- CertificationResearch Use Only
- ClonalityPolyclonal
- ConjugateUnconjugated
- HostRabbit
- IsotypeIgG
- Scientific DescriptionRabbit polyclonal antibody to KCNK9.
- ReactivityHuman, Mouse, Rat
- UNSPSC12352203





