
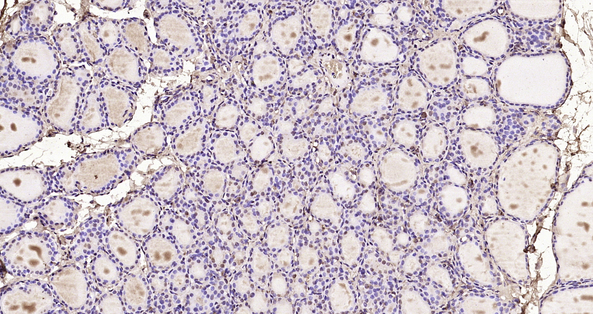
Immunohistochemical staining of human thyroid gland shows strong cytoplasmic positivity in glandular cells.
Anti-KIAA1456 Antibody
HPA024673
ApplicationsImmunoCytoChemistry, ImmunoHistoChemistry
Product group Antibodies
ReactivityHuman
TargetTRMT9B
Overview
- SupplierAtlas Antibodies
- Product NameAnti-KIAA1456 Antibody
- Delivery Days Customer4
- ApplicationsImmunoCytoChemistry, ImmunoHistoChemistry
- CertificationResearch Use Only
- ClonalityPolyclonal
- ConjugateUnconjugated
- Gene ID57604
- Target nameTRMT9B
- Target descriptiontRNA methyltransferase 9B (putative)
- Target synonymsC8orf79, KIAA1456, TRM9L, hTRM9L, probable tRNA methyltransferase 9B, probable tRNA methyltransferase 9-like protein
- HostRabbit
- IsotypeIgG
- Protein IDQ9P272
- Protein NameProbable tRNA methyltransferase 9B
- Scientific DescriptionRecombinant Protein Epitope Signature Tag (PrEST) antigen sequence
- ReactivityHuman
- Storage Instruction-20°C,2°C to 8°C
- UNSPSC41116161




