
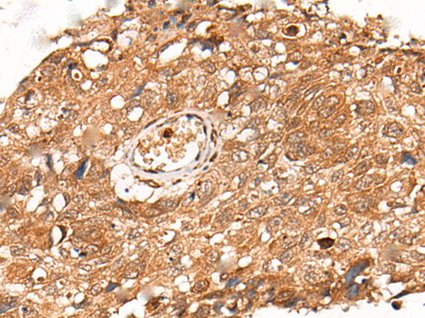
Immunohistochemical staining of human testis shows moderate cytoplasmic and nuclear positivity in cells in seminiferous ducts and Leydig cells.
Anti-KLHL36 Antibody
HPA023423
ApplicationsWestern Blot, ImmunoCytoChemistry, ImmunoHistoChemistry
Product group Antibodies
ReactivityHuman
TargetKLHL36
Overview
- SupplierAtlas Antibodies
- Product NameAnti-KLHL36 Antibody
- Delivery Days Customer4
- ApplicationsWestern Blot, ImmunoCytoChemistry, ImmunoHistoChemistry
- CertificationResearch Use Only
- ClonalityPolyclonal
- ConjugateUnconjugated
- Gene ID79786
- Target nameKLHL36
- Target descriptionkelch like family member 36
- Target synonymsC16orf44, kelch-like protein 36, kelch-like 36
- HostRabbit
- IsotypeIgG
- Protein IDQ8N4N3
- Protein NameKelch-like protein 36
- Scientific DescriptionRecombinant Protein Epitope Signature Tag (PrEST) antigen sequence
- ReactivityHuman
- Storage Instruction-20°C,2°C to 8°C
- UNSPSC41116161
![Lane 1: Marker [kDa] 230, 130, 95, 72, 56, 36, 28, 17, 11. Lane 2: Human cell line RT-4. Lane 3: Human cell line U-251MG sp Lane 1: Marker [kDa] 230, 130, 95, 72, 56, 36, 28, 17, 11. Lane 2: Human cell line RT-4. Lane 3: Human cell line U-251MG sp](https://atlasantibodies.s3.amazonaws.com/images/wb/hpa023423-wb-1.jpg)


