
Anti-LAMA4 Antibody
A96050
ApplicationsImmunoFluorescence, Western Blot, ELISA, ImmunoHistoChemistry
Product group Antibodies
ReactivityHuman, Mouse
Overview
- SupplierAntibodies.com
- Product NameAnti-LAMA4 Antibody
- Delivery Days Customer7
- ApplicationsImmunoFluorescence, Western Blot, ELISA, ImmunoHistoChemistry
- CertificationResearch Use Only
- ClonalityPolyclonal
- ConjugateUnconjugated
- HostRabbit
- IsotypeIgG
- Scientific DescriptionRabbit polyclonal antibody to LAMA4.
- ReactivityHuman, Mouse
- UNSPSC12352203






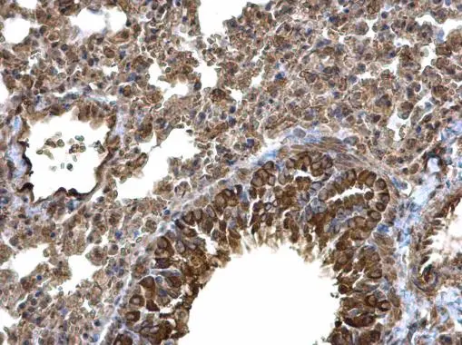
![Laminin alpha 4 antibody [C3], C-term detects Laminin alpha 4 protein at cytoplasm on mouse lung by immunohistochemical analysis. Sample: Paraffin-embedded mouse lung. Laminin alpha 4 antibody [C3], C-term (GTX106134) diluted at 1:500.
Antigen Retrieval: Trilogy? (EDTA based, pH 8.0) buffer, 15min](https://www.genetex.com/upload/website/prouct_img/normal/GTX106134/GTX106134_39764_20141120_IHC_M_w_23060120_475.webp)
