
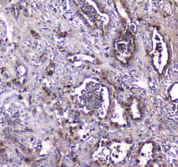
Figure 2. IHC analysis of LGALS3BP using anti-LGALS3BP antibody (A02938-1). LGALS3BP was detected in paraffin-embedded section of human mammary cancer tissue. Heat mediated antigen retrieval was performed in citrate buffer (pH6, epitope retrieval solution) for 20 mins. The tissue section was blocked with 10% goat serum. The tissue section was then incubated with 2microg/ml rabbit anti-LGALS3BP Antibody (A02938-1) overnight at 4°C. Biotinylated goat anti-rabbit IgG was used as secondary antibody and incubated for 30 minutes at 37°C. The tissue section was developed using Strepavidin-Biotin-Complex (SABC)(Catalog # SA1022) with DAB as the chromogen.
Anti-LGALS3BP Antibody Picoband(r)
A02938-1-CARRIER-FREE
ApplicationsWestern Blot, ImmunoHistoChemistry
Product group Antibodies
ReactivityHuman, Mouse, Rat
TargetLGALS3BP
Overview
- SupplierBoster Bio
- Product NameAnti-LGALS3BP Antibody Picoband(r)
- Delivery Days Customer9
- ApplicationsWestern Blot, ImmunoHistoChemistry
- CertificationResearch Use Only
- ClonalityPolyclonal
- Concentration500 ug/ml
- Gene ID3959
- Target nameLGALS3BP
- Target descriptiongalectin 3 binding protein
- Target synonyms90K, BTBD17B, CyCAP, M2BP, MAC-2-BP, TANGO10B, gp90, galectin-3-binding protein, L3 antigen, MAC2BP, Mac-2-binding protein, basement membrane autoantigen p105, lectin galactoside-binding soluble 3-binding protein, mac-2 BP, serum protein 90K, transport and golgi organization 10 homolog B, tumor-associated antigen 90K
- HostRabbit
- IsotypeIgG
- Protein IDQ08380
- Protein NameGalectin-3-binding protein
- Scientific DescriptionBoster Bio Anti-LGALS3BP Antibody Picoband® catalog # A02938-1. Tested in IHC, WB applications. This antibody reacts with Human, Mouse, Rat. The brand Picoband indicates this is a premium antibody that guarantees superior quality, high affinity, and strong signals with minimal background in Western blot applications. Only our best-performing antibodies are designated as Picoband, ensuring unmatched performance.
- ReactivityHuman, Mouse, Rat
- Storage Instruction-20°C,2°C to 8°C
- UNSPSC12352203








![LGALS3BP antibody [HL2168] detects secreted LGALS3BP protein by immunohistochemical analysis. Sample: Paraffin-embedded mouse adrenal gland. LGALS3BP stained by LGALS3BP antibody [HL2168] (GTX638146) diluted at 1:100. Antigen Retrieval: Citrate buffer, pH 6.0, 15 min](https://www.genetex.com/upload/website/prouct_img/normal/GTX638146/GTX638146_T-44928_20230217_IHC-P_M_23021401_943.webp)

