
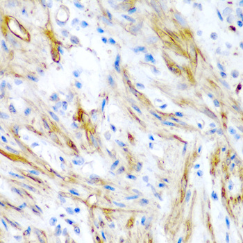
Immunohistochemistry analysis in human prostate and liver tissues using HPA030097 antibody. Corresponding LMOD1 RNA-seq data are presented for the same tissues.
Anti-LMOD1 Antibody
HPA030097
ApplicationsImmunoHistoChemistry
Product group Antibodies
ReactivityHuman
TargetLMOD1
Overview
- SupplierAtlas Antibodies
- Product NameAnti-LMOD1 Antibody
- Delivery Days Customer4
- ApplicationsImmunoHistoChemistry
- CertificationResearch Use Only
- ClonalityPolyclonal
- ConjugateUnconjugated
- Gene ID25802
- Target nameLMOD1
- Target descriptionleiomodin 1
- Target synonyms1D, 64kD, D1, MMIHS3, SM-LMOD, SMLMOD, leiomodin-1, 64 kDa autoantigen 1D, 64 kDa autoantigen 1D3, 64 kDa autoantigen D1, leimodin 1 (smooth muscle), leiomodin 1 (smooth muscle), leiomodin, muscle form, smooth muscle leiomodin, thyroid and eye muscle autoantigen D1 (64kD), thyroid-associated ophthalmopathy autoantigen
- HostRabbit
- IsotypeIgG
- Protein IDP29536
- Protein NameLeiomodin-1
- Scientific DescriptionRecombinant Protein Epitope Signature Tag (PrEST) antigen sequence
- ReactivityHuman
- Storage Instruction-20°C,2°C to 8°C
- UNSPSC41116161




