
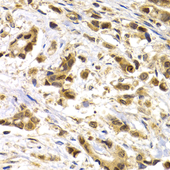
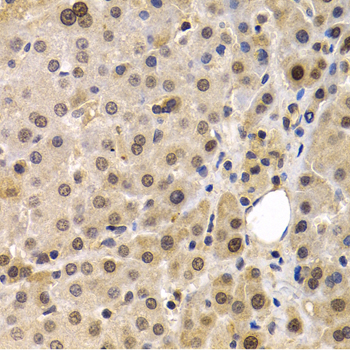
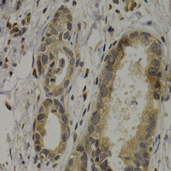
Anti-MAGEA1 Antibody
A39569
ApplicationsImmunoFluorescence, Western Blot
Product group Antibodies
ReactivityHuman
Overview
- SupplierAntibodies.com
- Product NameAnti-MAGEA1 Antibody
- Delivery Days Customer7
- ApplicationsImmunoFluorescence, Western Blot
- CertificationResearch Use Only
- ClonalityPolyclonal
- Concentration1.0 mg/ml
- ConjugateUnconjugated
- HostRabbit
- Scientific DescriptionRabbit polyclonal antibody to MAGEA1
- ReactivityHuman
- UNSPSC12352203









