
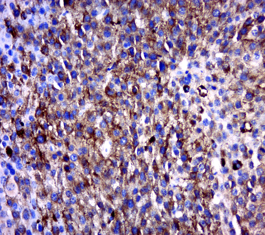
Immunohistochemical staining of human testis shows strong cytoplasmic positivity in subset of cells of seminiferus ducts.
Anti-MAGEB6 Antibody
HPA041853
ApplicationsImmunoHistoChemistry
Product group Antibodies
ReactivityHuman
TargetMAGEB6
Overview
- SupplierAtlas Antibodies
- Product NameAnti-MAGEB6 Antibody
- Delivery Days Customer4
- ApplicationsImmunoHistoChemistry
- CertificationResearch Use Only
- ClonalityPolyclonal
- ConjugateUnconjugated
- Gene ID158809
- Target nameMAGEB6
- Target descriptionMAGE family member B6
- Target synonymsCT3.4, MAGE-B6, MAGEB6A, melanoma-associated antigen B6, MAGE-B6 antigen, cancer/testis antigen 3.4, cancer/testis antigen family 3, member 4, melanoma antigen family B, 6, melanoma antigen family B6
- HostRabbit
- IsotypeIgG
- Protein IDQ8N7X4
- Protein NameMelanoma-associated antigen B6
- Scientific DescriptionRecombinant Protein Epitope Signature Tag (PrEST) antigen sequence
- ReactivityHuman
- Storage Instruction-20°C,2°C to 8°C
- UNSPSC41116161



