
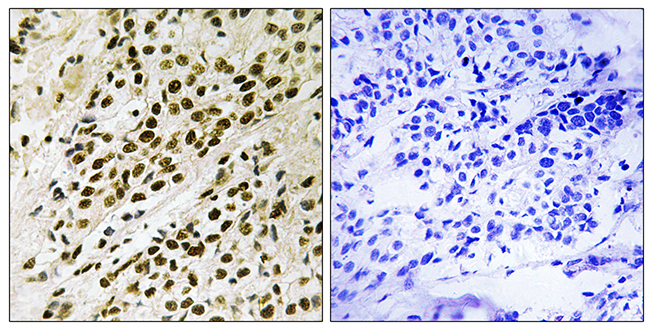
Anti-MAPKAPK5 (phospho Thr182) Antibody
A94602
ApplicationsWestern Blot, ELISA, ImmunoHistoChemistry
Product group Antibodies
ReactivityHuman, Mouse
Overview
- SupplierAntibodies.com
- Product NameAnti-MAPKAPK5 (phospho Thr182) Antibody
- Delivery Days Customer7
- ApplicationsWestern Blot, ELISA, ImmunoHistoChemistry
- CertificationResearch Use Only
- ClonalityPolyclonal
- ConjugateUnconjugated
- HostRabbit
- IsotypeIgG
- Scientific DescriptionRabbit polyclonal antibody to MAPKAPK5 (phospho Thr182).
- ReactivityHuman, Mouse
- UNSPSC12352203

