
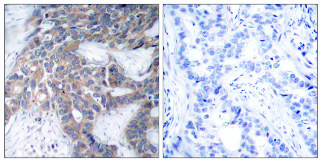
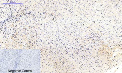
Anti-MEK1 + MEK2 (phospho Ser217) Antibody
A94898
ApplicationsWestern Blot, ELISA, ImmunoHistoChemistry
Product group Antibodies
ReactivityHuman, Mouse, Rat
Overview
- SupplierAntibodies.com
- Product NameAnti-MEK1 + MEK2 (phospho Ser217) Antibody
- Delivery Days Customer7
- ApplicationsWestern Blot, ELISA, ImmunoHistoChemistry
- CertificationResearch Use Only
- ClonalityPolyclonal
- ConjugateUnconjugated
- HostRabbit
- IsotypeIgG
- Scientific DescriptionRabbit polyclonal antibody to MEK1 + MEK2 (phospho Ser217).
- ReactivityHuman, Mouse, Rat
- UNSPSC12352203



