
Anti-MEK1 (P293) Antibody
A24931
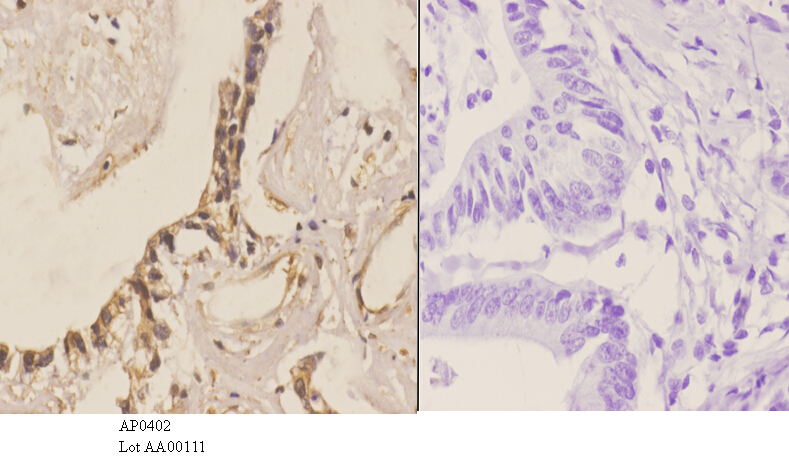
ApplicationsWestern Blot, ImmunoHistoChemistry
Product group Antibodies
ReactivityHuman, Mouse, Rat
Overview
- SupplierAntibodies.com
- Product NameAnti-MEK1 (P293) Antibody
- Delivery Days Customer7
- ApplicationsWestern Blot, ImmunoHistoChemistry
- CertificationResearch Use Only
- ClonalityPolyclonal
- ConjugateUnconjugated
- Estimated Purity>99%
- HostRabbit
- Scientific DescriptionRabbit polyclonal antibody to MEK1 (P293)
- ReactivityHuman, Mouse, Rat
- UNSPSC12352203


