
Anti-MEK1 (phospho-S218/S222) Antibody
A32395
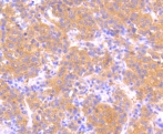
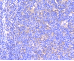
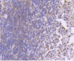
ApplicationsImmunoFluorescence, Western Blot, ImmunoCytoChemistry, ImmunoHistoChemistry
Product group Antibodies
ReactivityHuman
Overview
- SupplierAntibodies.com
- Product NameAnti-MEK1 (phospho-S218/S222) Antibody
- Delivery Days Customer7
- ApplicationsImmunoFluorescence, Western Blot, ImmunoCytoChemistry, ImmunoHistoChemistry
- CertificationResearch Use Only
- ClonalityMonoclonal
- ConjugateUnconjugated
- HostRabbit
- Scientific DescriptionRabbit monoclonal antibody to MEK1 (phospho-S218/S222)
- ReactivityHuman
- UNSPSC12352203



