
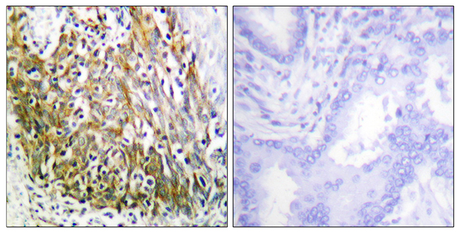
Anti-MMP-10 Antibody - Identical to Abcam (ab59437)
A95614
ApplicationsImmunoFluorescence, ELISA, ImmunoHistoChemistry
Product group Antibodies
ReactivityHuman, Mouse, Rat
Overview
- SupplierAntibodies.com
- Product NameAnti-MMP-10 Antibody - Identical to Abcam (ab59437)
- Delivery Days Customer7
- ApplicationsImmunoFluorescence, ELISA, ImmunoHistoChemistry
- CertificationResearch Use Only
- ClonalityPolyclonal
- ConjugateUnconjugated
- HostRabbit
- IsotypeIgG
- Scientific DescriptionRabbit polyclonal antibody to MMP-10.
- ReactivityHuman, Mouse, Rat
- UNSPSC12352203
