
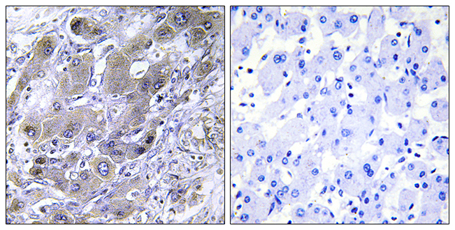
Immunohistochemical staining of human prostate shows strong granular cytoplasmic positivity in glandular cells.
Anti-MRPS18A Antibody
HPA035450
ApplicationsImmunoHistoChemistry
Product group Antibodies
ReactivityHuman
TargetMRPS18A
Overview
- SupplierAtlas Antibodies
- Product NameAnti-MRPS18A Antibody
- Delivery Days Customer4
- ApplicationsImmunoHistoChemistry
- CertificationResearch Use Only
- ClonalityPolyclonal
- ConjugateUnconjugated
- Gene ID55168
- Target nameMRPS18A
- Target descriptionmitochondrial ribosomal protein S18A
- Target synonymsHumanS18b, MRP-S18-3, MRP-S18-a, MRPS18-3, S18bmt, S18mt-a, mL66, large ribosomal subunit protein mL66, 28S ribosomal protein S18-3, mitochondrial, 28S ribosomal protein S18a, mitochondrial, 39S ribosomal protein S18-3, mitochondrial, 39S ribosomal protein S18a, mitochondrial, large ribosomal subunit protein bS18a, mitochondrial large ribosomal subunit protein bS18a, mitochondrial large ribosomal subunit protein bS18m-A, mitochondrial large ribosomal subunit protein mL66, mitochondrial ribosomal protein S18-3
- HostRabbit
- IsotypeIgG
- Scientific DescriptionRecombinant Protein Epitope Signature Tag (PrEST) antigen sequence
- ReactivityHuman
- Storage Instruction-20°C,2°C to 8°C
- UNSPSC41116161




