
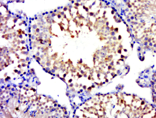
Immunohistochemistry analysis in human testis and prostate tissues using Anti-MYCBPAP antibody. Corresponding MYCBPAP RNA-seq data are presented for the same tissues.
Anti-MYCBPAP Antibody
HPA023257
ApplicationsImmunoCytoChemistry, ImmunoHistoChemistry
Product group Antibodies
ReactivityHuman
TargetMYCBPAP
Overview
- SupplierAtlas Antibodies
- Product NameAnti-MYCBPAP Antibody
- Delivery Days Customer4
- ApplicationsImmunoCytoChemistry, ImmunoHistoChemistry
- CertificationResearch Use Only
- ClonalityPolyclonal
- ConjugateUnconjugated
- Gene ID84073
- Target nameMYCBPAP
- Target descriptionMYCBP associated protein
- Target synonymsAMAP-1, AMAP1, MYCBP-associated protein, AMAM-1, AMY-1-binding protein 1, AMY1-associating protein 1, testis secretory sperm-binding protein Li 214e
- HostRabbit
- IsotypeIgG
- Protein IDQ8TBZ2
- Protein NameMYCBP-associated protein
- Scientific DescriptionRecombinant Protein Epitope Signature Tag (PrEST) antigen sequence
- ReactivityHuman
- Storage Instruction-20°C,2°C to 8°C
- UNSPSC41116161



