
Anti-NF-kappaB p65 Antibody - Identical to Sigma (SAB4502615)
A94757
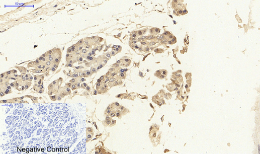
ApplicationsWestern Blot, ELISA, ImmunoHistoChemistry
Product group Antibodies
ReactivityHuman, Mouse, Rat
Overview
- SupplierAntibodies.com
- Product NameAnti-NF-kappaB p65 Antibody - Identical to Sigma (SAB4502615)
- Delivery Days Customer7
- ApplicationsWestern Blot, ELISA, ImmunoHistoChemistry
- CertificationResearch Use Only
- ClonalityPolyclonal
- ConjugateUnconjugated
- HostRabbit
- IsotypeIgG
- Scientific DescriptionRabbit polyclonal antibody to NF-kappaB p65.
- ReactivityHuman, Mouse, Rat
- UNSPSC12352203



