
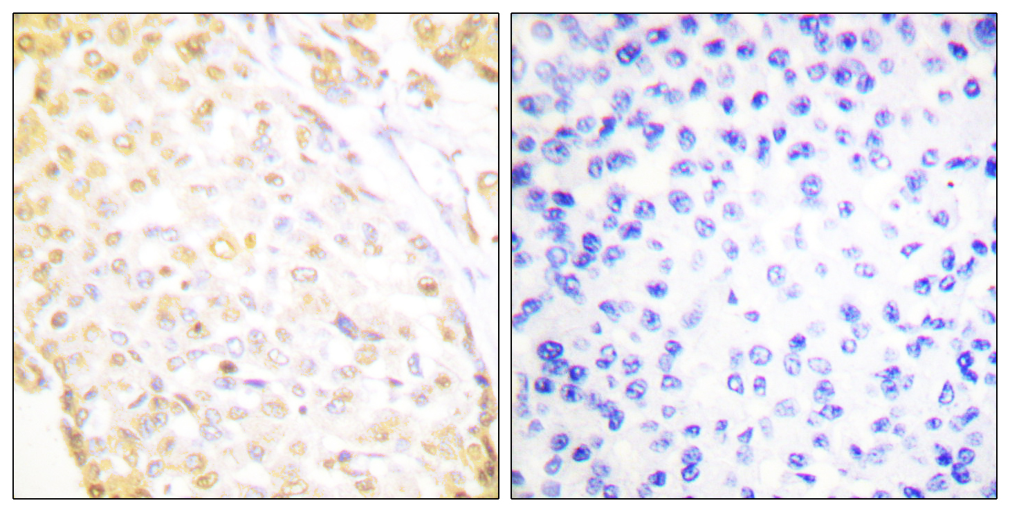
Immunohistochemistry analysis in human prostate and cerebral cortex tissues using HPA078571 antibody. Corresponding NKX3-1 RNA-seq data are presented for the same tissues.
Anti-NKX3-1 Antibody
HPA078571
ApplicationsImmunoHistoChemistry
Product group Antibodies
ReactivityHuman
TargetNKX3-1
Overview
- SupplierAtlas Antibodies
- Product NameAnti-NKX3-1 Antibody
- Delivery Days Customer4
- ApplicationsImmunoHistoChemistry
- CertificationResearch Use Only
- ClonalityPolyclonal
- ConjugateUnconjugated
- Gene ID4824
- Target nameNKX3-1
- Target descriptionNK3 homeobox 1
- Target synonymsBAPX2, NKX3, NKX3.1, NKX3A, homeobox protein Nkx-3.1, NK homeobox, family 3, A, NK3 transcription factor homolog A, NK3 transcription factor related, locus 1, homeobox protein NK-3 homolog A
- HostRabbit
- IsotypeIgG
- Protein IDQ99801
- Protein NameHomeobox protein Nkx-3.1
- Scientific DescriptionRecombinant Protein Epitope Signature Tag (PrEST) antigen sequence
- ReactivityHuman
- Storage Instruction-20°C,2°C to 8°C
- UNSPSC41116161




