
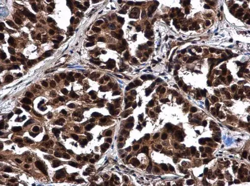
Immunohistochemical staining of human prostate cancer shows strong nucleolar positivity in glandular cells.
Anti-NOP56 Antibody
AMAB91013
ApplicationsWestern Blot, ImmunoCytoChemistry, ImmunoHistoChemistry
Product group Antibodies
ReactivityHuman
TargetNOP56
Overview
- SupplierAtlas Antibodies
- Product NameAnti-NOP56 Antibody
- Delivery Days Customer4
- ApplicationsWestern Blot, ImmunoCytoChemistry, ImmunoHistoChemistry
- CertificationResearch Use Only
- ClonalityMonoclonal
- Clone IDCL2603
- ConjugateUnconjugated
- Gene ID10528
- Target nameNOP56
- Target descriptionNOP56 ribonucleoprotein
- Target synonymsNOL5A, SCA36, nucleolar protein 56, NOP56 ribonucleoprotein homolog, nucleolar protein 5A (56kDa with KKE/D repeat)
- HostMouse
- IsotypeIgG1
- Protein IDO00567
- Protein NameNucleolar protein 56
- Scientific DescriptionRecombinant Protein Epitope Signature Tag (PrEST) antigen sequence
- ReactivityHuman
- Storage Instruction-20°C,2°C to 8°C
- UNSPSC41116161





