
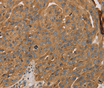
Immunohistochemical staining of human liver shows strong cytoplasmic positivity in hepatocytes.
Anti-PARP11 Antibody
HPA026895
ApplicationsImmunoHistoChemistry
Product group Antibodies
ReactivityHuman
TargetPARP11
Overview
- SupplierAtlas Antibodies
- Product NameAnti-PARP11 Antibody
- Delivery Days Customer4
- ApplicationsImmunoHistoChemistry
- CertificationResearch Use Only
- ClonalityPolyclonal
- ConjugateUnconjugated
- Gene ID57097
- Target namePARP11
- Target descriptionpoly(ADP-ribose) polymerase family member 11
- Target synonymsARTD11, C12orf6, MIB006, protein mono-ADP-ribosyltransferase PARP11, ADP-ribosyltransferase diphtheria toxin-like 11, poly [ADP-ribose] polymerase 11
- HostRabbit
- IsotypeIgG
- Protein IDQ9NR21
- Protein NameProtein mono-ADP-ribosyltransferase PARP11
- Scientific DescriptionRecombinant Protein Epitope Signature Tag (PrEST) antigen sequence
- ReactivityHuman
- Storage Instruction-20°C,2°C to 8°C
- UNSPSC41116161



