
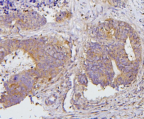
Figure 1. IHC analysis of PRKCD using anti-PRKCD antibody (A00822-1). PRKCD was detected in paraffin-embedded section of human mammary cancer tissues. Heat mediated antigen retrieval was performed in citrate buffer (pH6, epitope retrieval solution) for 20 mins. The tissue section was blocked with 10% goat serum. The tissue section was then incubated with 1microg/ml rabbit anti-PRKCD Antibody (A00822-1) overnight at 4°C. Biotinylated goat anti-rabbit IgG was used as secondary antibody and incubated for 30 minutes at 37°C. The tissue section was developed using Strepavidin-Biotin-Complex (SABC)(Catalog # SA1022) with DAB as the chromogen.
Anti-PKC delta/PRKCD Antibody Picoband(r)
A00822-1-CARRIER-FREE
ApplicationsFlow Cytometry, ImmunoFluorescence, Western Blot, ELISA, ImmunoCytoChemistry, ImmunoHistoChemistry
Product group Antibodies
TargetPRKCD
Overview
- SupplierBoster Bio
 - Product NameAnti-PKC delta/PRKCD Antibody Picoband(r)
 - Delivery Days Customer9
 - ApplicationsFlow Cytometry, ImmunoFluorescence, Western Blot, ELISA, ImmunoCytoChemistry, ImmunoHistoChemistry
 - CertificationResearch Use Only
 - ClonalityPolyclonal
 - Concentration500 ug/ml
 - Gene ID5580
 - Target namePRKCD
 - Target descriptionprotein kinase C delta
 - Target synonymsALPS3; CVID9; MAY1; nPKC-delta; PKCD; protein kinase C delta type; protein kinase C delta VIII; tyrosine-protein kinase PRKCD
 - HostRabbit
 - IsotypeIgG
 - Protein IDQ05655
 - Protein NameProtein kinase C delta type
 - Scientific DescriptionBoster Bio Anti-PKC delta/PRKCD Antibody Picoband® catalog # A00822-1. Tested in ELISA, Flow Cytometry, IF, IHC, ICC, WB applications. This antibody reacts with Human, Mouse, Rat. The brand Picoband indicates this is a premium antibody that guarantees superior quality, high affinity, and strong signals with minimal background in Western blot applications. Only our best-performing antibodies are designated as Picoband, ensuring unmatched performance.
 - Storage Instruction-20°C,2°C to 8°C
 - UNSPSC12352203
 










![ICC/IF analysis of NIH-3T3 cells using GTX02829 PKC delta antibody [GT1232]. Dilution : 1:100 Blue : DAPI for nuclear staining.](https://www.genetex.com/upload/website/prouct_img/normal/GTX02829/A7778_IF_01_(1072546)_w_23053123_850.webp)





