
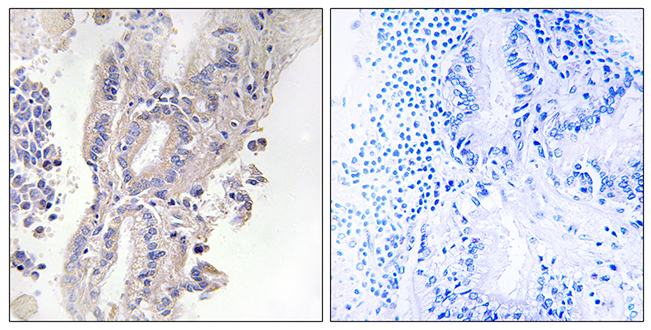
Immunohistochemical staining of human stomach shows strong cytoplasmic positivity in glandular cells.
Anti-PLCXD1 Antibody
HPA007721
ApplicationsImmunoCytoChemistry, ImmunoHistoChemistry
Product group Antibodies
ReactivityHuman
TargetPLCXD1
Overview
- SupplierAtlas Antibodies
- Product NameAnti-PLCXD1 Antibody
- Delivery Days Customer4
- ApplicationsImmunoCytoChemistry, ImmunoHistoChemistry
- CertificationResearch Use Only
- ClonalityPolyclonal
- ConjugateUnconjugated
- Gene ID55344
- Target namePLCXD1
- Target descriptionphosphatidylinositol specific phospholipase C X domain containing 1
- Target synonymsLL0XNC01-136G2.1, PI-PLC X domain-containing protein 1
- HostRabbit
- IsotypeIgG
- Protein IDQ9NUJ7
- Protein NamePI-PLC X domain-containing protein 1
- Scientific DescriptionRecombinant Protein Epitope Signature Tag (PrEST) antigen sequence
- ReactivityHuman
- Storage Instruction-20°C,2°C to 8°C
- UNSPSC41116161



