
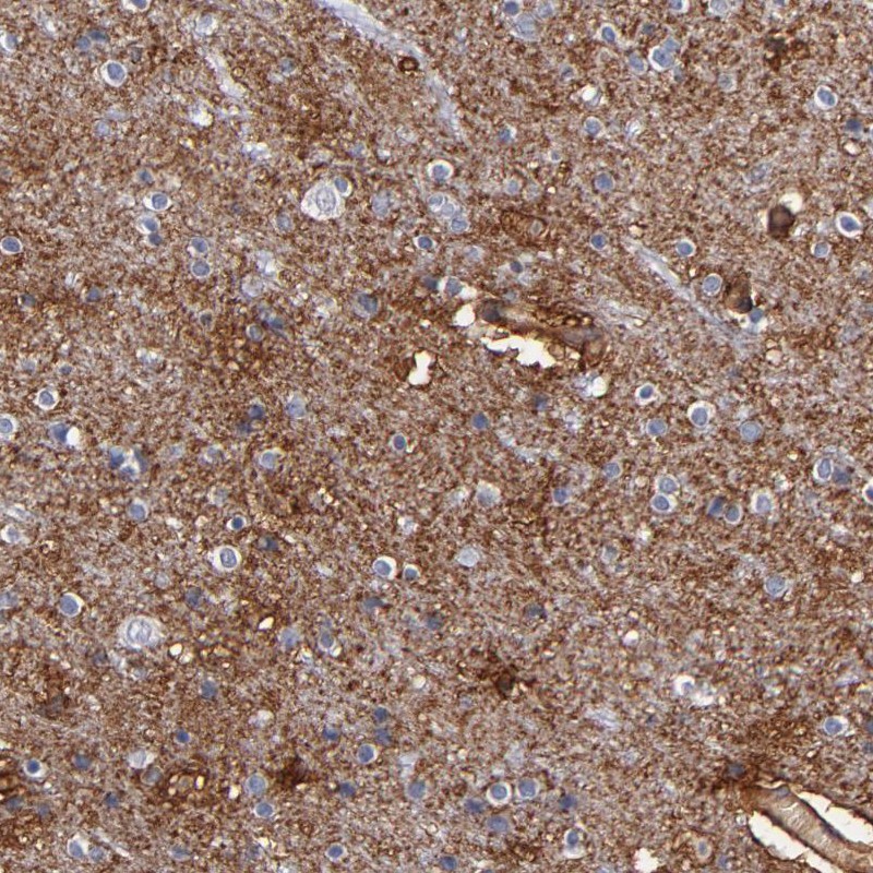
Immunohistochemical staining of human cerebral cortex shows strong cytoplasmic positivity in neuropil and subset of glial cells.
Anti-PLSCR4 Antibody
HPA002276
ApplicationsWestern Blot, ImmunoCytoChemistry, ImmunoHistoChemistry
Product group Antibodies
ReactivityHuman
TargetPLSCR4
Overview
- SupplierAtlas Antibodies
- Product NameAnti-PLSCR4 Antibody
- Delivery Days Customer4
- ApplicationsWestern Blot, ImmunoCytoChemistry, ImmunoHistoChemistry
- CertificationResearch Use Only
- ClonalityPolyclonal
- ConjugateUnconjugated
- Gene ID57088
- Target namePLSCR4
- Target descriptionphospholipid scramblase 4
- Target synonymsTRA1, phospholipid scramblase 4, Ca(2+)-dependent phospholipid scramblase 4, PL scramblase 4, cell growth inhibiting protein 43
- HostRabbit
- IsotypeIgG
- Protein IDQ9NRQ2
- Protein NamePhospholipid scramblase 4
- Scientific DescriptionRecombinant Protein Epitope Signature Tag (PrEST) antigen sequence
- ReactivityHuman
- Storage Instruction-20°C,2°C to 8°C
- UNSPSC41116161


