
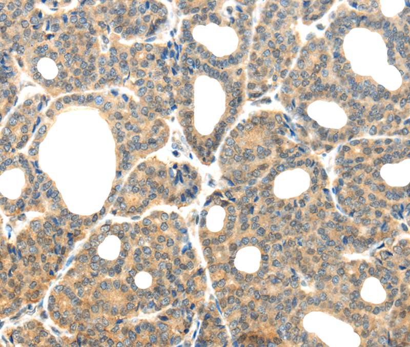
Immunohistochemical staining of human stomach shows strong cytoplasmic positivity in glandular cells.
Anti-PLXNB2 Antibody
HPA003100
ApplicationsImmunoHistoChemistry
Product group Antibodies
ReactivityHuman
TargetPLXNB2
Overview
- SupplierAtlas Antibodies
- Product NameAnti-PLXNB2 Antibody
- Delivery Days Customer4
- ApplicationsImmunoHistoChemistry
- CertificationResearch Use Only
- ClonalityPolyclonal
- ConjugateUnconjugated
- Gene ID23654
- Target namePLXNB2
- Target descriptionplexin B2
- Target synonymsMM1, Nbla00445, PLEXB2, dJ402G11.3, lncFAL, plexin-B2, ferroptosis-associated lncRNA
- HostRabbit
- IsotypeIgG
- Protein IDO15031
- Protein NamePlexin-B2
- Scientific DescriptionRecombinant Protein Epitope Signature Tag (PrEST) antigen sequence
- ReactivityHuman
- Storage Instruction-20°C,2°C to 8°C
- UNSPSC41116161



