
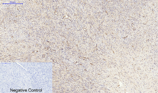
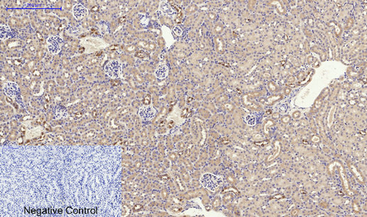
Anti-PPAR-alpha Antibody
A95160
ApplicationsImmunoFluorescence, Western Blot, ELISA
Product group Antibodies
ReactivityHuman, Mouse, Rat
Overview
- SupplierAntibodies.com
- Product NameAnti-PPAR-alpha Antibody
- Delivery Days Customer7
- ApplicationsImmunoFluorescence, Western Blot, ELISA
- CertificationResearch Use Only
- ClonalityPolyclonal
- ConjugateUnconjugated
- HostRabbit
- IsotypeIgG
- Scientific DescriptionRabbit polyclonal antibody to PPAR-alpha.
- ReactivityHuman, Mouse, Rat
- UNSPSC12352203



