
Immunohistochemical staining of human cerebral cortex, endometrium, testis and tonsil using Anti-PRPF4 antibody HPA021794 (A) shows similar protein distribution across tissues to independent antibody HPA022248 (B).
Anti-PRPF4 Antibody
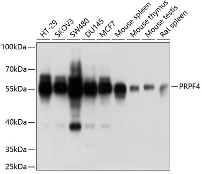
HPA021794
ApplicationsWestern Blot, ImmunoCytoChemistry, ImmunoHistoChemistry
Product group Antibodies
ReactivityHuman, Mouse, Rat
TargetPRPF4
Overview
- SupplierAtlas Antibodies
- Product NameAnti-PRPF4 Antibody
- Delivery Days Customer4
- ApplicationsWestern Blot, ImmunoCytoChemistry, ImmunoHistoChemistry
- CertificationResearch Use Only
- ClonalityPolyclonal
- ConjugateUnconjugated
- Gene ID9128
- Target namePRPF4
- Target descriptionpre-mRNA splicing tri-snRNP complex factor PRPF4
- Target synonymsHPRP4, HPRP4P, PRP4, Prp4p, RP70, SNRNP60, U4/U6 small nuclear ribonucleoprotein Prp4, PRP4 homolog, PRP4 pre-mRNA processing factor 4 homolog, PRP4/STK/WD splicing factor, U4/U6 snRNP 60 kDa protein, WD splicing factor Prp4, pre-mRNA processing factor 4
- HostRabbit
- IsotypeIgG
- Protein IDO43172
- Protein NameU4/U6 small nuclear ribonucleoprotein Prp4
- Scientific DescriptionRecombinant Protein Epitope Signature Tag (PrEST) antigen sequence
- ReactivityHuman, Mouse, Rat
- Storage Instruction-20°C,2°C to 8°C
- UNSPSC41116161





