
Anti-RARRES1 Antibody
A36871
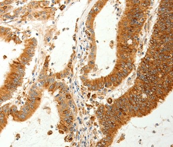
ApplicationsWestern Blot, ImmunoHistoChemistry
Product group Antibodies
ReactivityHuman
Overview
- SupplierAntibodies.com
- Product NameAnti-RARRES1 Antibody
- Delivery Days Customer7
- ApplicationsWestern Blot, ImmunoHistoChemistry
- CertificationResearch Use Only
- ClonalityPolyclonal
- Concentration2.2 mg/ml
- ConjugateUnconjugated
- HostRabbit
- Scientific DescriptionRabbit polyclonal antibody to RARRES1
- ReactivityHuman
- UNSPSC12352203




![Various whole cell extracts (30 μg) were separated by 12% SDS-PAGE, and the membrane was blotted with RARRES1 antibody [N2C3] (GTX114937) diluted at 1:2000. The HRP-conjugated anti-rabbit IgG antibody (GTX213110-01) was used to detect the primary antibody, and the signal was developed with Trident ECL plus-Enhanced.](https://www.genetex.com/upload/website/prouct_img/normal/GTX114937/GTX114937_40240_20210101_WB_w_23060519_379.webp)