
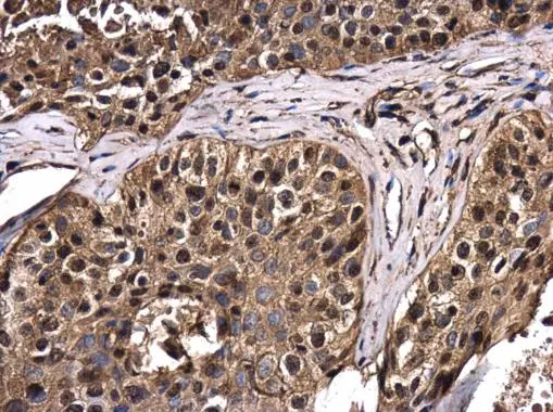
Immunohistochemical staining of human fallopian tube shows moderate cytoplasmic and membranous positivity in glandular cells.
Anti-RERG Antibody
HPA041387
ApplicationsWestern Blot, ImmunoHistoChemistry
Product group Antibodies
ReactivityHuman
TargetRERG
Overview
- SupplierAtlas Antibodies
- Product NameAnti-RERG Antibody
- Delivery Days Customer4
- ApplicationsWestern Blot, ImmunoHistoChemistry
- CertificationResearch Use Only
- ClonalityPolyclonal
- ConjugateUnconjugated
- Gene ID85004
- Target nameRERG
- Target descriptionRAS like estrogen regulated growth inhibitor
- Target synonymsras-related and estrogen-regulated growth inhibitor
- HostRabbit
- IsotypeIgG
- Protein IDQ96A58
- Protein NameRas-related and estrogen-regulated growth inhibitor
- Scientific DescriptionRecombinant Protein Epitope Signature Tag (PrEST) antigen sequence
- ReactivityHuman
- Storage Instruction-20°C,2°C to 8°C
- UNSPSC41116161





