
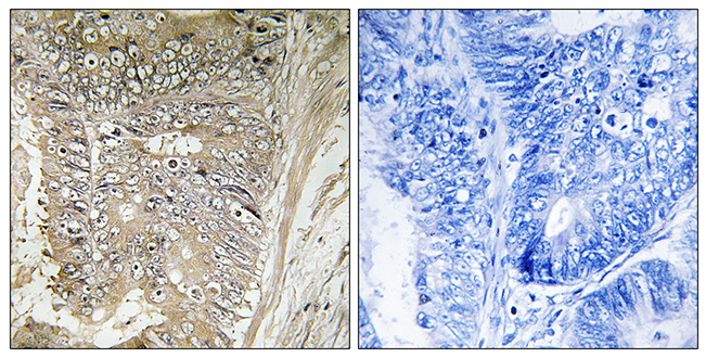
Immunohistochemical staining of human small intestine shows strong granular cytoplasmic positivity in glandular cells.
Anti-RPL37A Antibody
HPA065327
ApplicationsImmunoCytoChemistry, ImmunoHistoChemistry
Product group Antibodies
ReactivityHuman
TargetRPL37A
Overview
- SupplierAtlas Antibodies
- Product NameAnti-RPL37A Antibody
- Delivery Days Customer4
- ApplicationsImmunoCytoChemistry, ImmunoHistoChemistry
- CertificationResearch Use Only
- ClonalityPolyclonal
- ConjugateUnconjugated
- Gene ID6168
- Target nameRPL37A
- Target descriptionribosomal protein L37a
- Target synonymsL37A, eL43, large ribosomal subunit protein eL43, 60S ribosomal protein L37a
- HostRabbit
- IsotypeIgG
- Protein IDP61513
- Protein NameLarge ribosomal subunit protein eL43
- Scientific DescriptionRecombinant Protein Epitope Signature Tag (PrEST) antigen sequence
- ReactivityHuman
- Storage Instruction-20°C,2°C to 8°C
- UNSPSC41116161




