
Anti-RPLP1 Antibody
A31554
ApplicationsImmunoFluorescence, Western Blot, ImmunoHistoChemistry
Product group Antibodies
ReactivityHuman, Rat
Overview
- SupplierAntibodies.com
- Product NameAnti-RPLP1 Antibody
- Delivery Days Customer7
- ApplicationsImmunoFluorescence, Western Blot, ImmunoHistoChemistry
- CertificationResearch Use Only
- ClonalityPolyclonal
- ConjugateUnconjugated
- Estimated Purity>95%
- HostRabbit
- Scientific DescriptionRabbit polyclonal antibody to RPLP1
- ReactivityHuman, Rat
- UNSPSC12352203



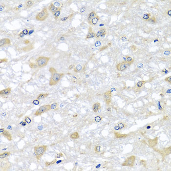
![RPLP1 antibody [N1C3] detects RPLP1 protein at cytoplasm on human placenta by immunohistochemical analysis. Sample: Paraffin-embedded placenta. RPLP1 antibody [N1C3] (GTX101835) dilution: 1:100.
Antigen Retrieval: Citrate buffer, pH 6.0, 15 min](https://www.genetex.com/upload/website/prouct_img/normal/GTX101835/GTX101835_39577_CT_IHC_w_23060100_171.webp)

