
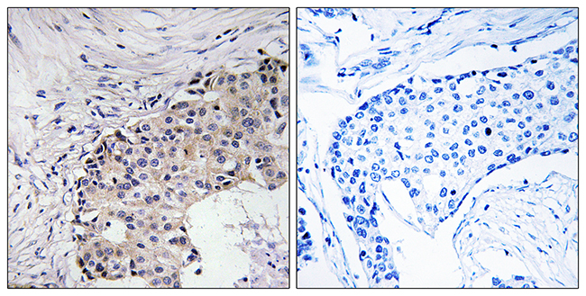
Immunohistochemical staining of human placenta shows strong cytoplasmic positivity in trophoblastic cells.
Anti-SCARF2 Antibody
HPA035079
ApplicationsWestern Blot, ImmunoCytoChemistry, ImmunoHistoChemistry
Product group Antibodies
ReactivityHuman, Mouse, Rat
TargetSCARF2
Overview
- SupplierAtlas Antibodies
- Product NameAnti-SCARF2 Antibody
- Delivery Days Customer4
- ApplicationsWestern Blot, ImmunoCytoChemistry, ImmunoHistoChemistry
- CertificationResearch Use Only
- ClonalityPolyclonal
- ConjugateUnconjugated
- Gene ID91179
- Target nameSCARF2
- Target descriptionscavenger receptor class F member 2
- Target synonymsNSR1, SREC-II, SREC2, SRECRP-1, VDEGS, scavenger receptor class F member 2, scavenger receptor expressed by endothelial cells 2 protein
- HostRabbit
- IsotypeIgG
- Protein IDQ96GP6
- Protein NameScavenger receptor class F member 2
- Scientific DescriptionRecombinant Protein Epitope Signature Tag (PrEST) antigen sequence
- ReactivityHuman, Mouse, Rat
- Storage Instruction-20°C,2°C to 8°C
- UNSPSC41116161
![Lane 1: Marker [kDa] 230, 130, 95, 72, 56, 36, 28, 17, 11. Lane 2: Human cell line RT-4 Lane 1: Marker [kDa] 230, 130, 95, 72, 56, 36, 28, 17, 11. Lane 2: Human cell line RT-4](https://atlasantibodies.s3.amazonaws.com/images/wb/hpa035079-wb-1.jpg)



