
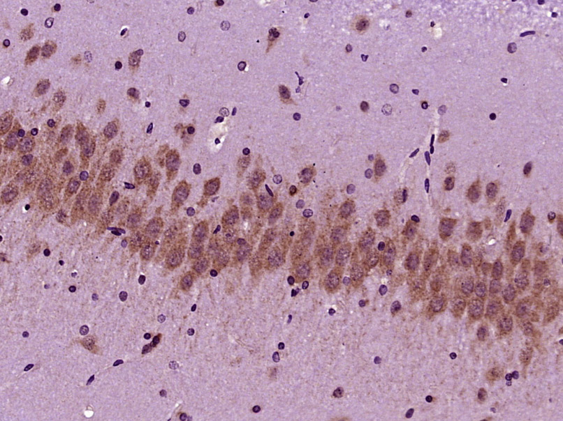
Immunohistochemical staining of human cerebral cortex, cervix, uterine, kidney and testis using Anti-SCFD2 antibody HPA036526 (A) shows similar protein distribution across tissues to independent antibody HPA036527 (B).
Anti-SCFD2 Antibody
HPA036526
ApplicationsImmunoCytoChemistry, ImmunoHistoChemistry
Product group Antibodies
ReactivityHuman
TargetSCFD2
Overview
- SupplierAtlas Antibodies
- Product NameAnti-SCFD2 Antibody
- Delivery Days Customer4
- ApplicationsImmunoCytoChemistry, ImmunoHistoChemistry
- CertificationResearch Use Only
- ClonalityPolyclonal
- ConjugateUnconjugated
- Gene ID152579
- Target nameSCFD2
- Target descriptionsec1 family domain containing 2
- Target synonymsSTXBP1L1, sec1 family domain-containing protein 2, syntaxin binding protein 1-like 1
- HostRabbit
- IsotypeIgG
- Protein IDQ8WU76
- Protein NameSec1 family domain-containing protein 2
- Scientific DescriptionRecombinant Protein Epitope Signature Tag (PrEST) antigen sequence
- ReactivityHuman
- Storage Instruction-20°C,2°C to 8°C
- UNSPSC41116161






