
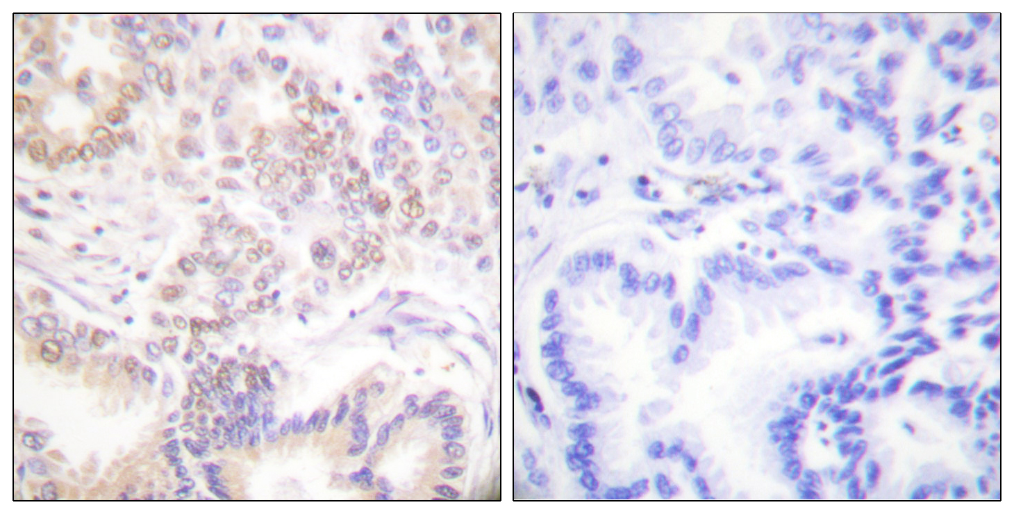
Anti-SENP5 Antibody - Identical to Abcam (ab58420)
A97247
ApplicationsWestern Blot, ELISA, ImmunoHistoChemistry
Product group Antibodies
ReactivityHuman, Mouse
Overview
- SupplierAntibodies.com
- Product NameAnti-SENP5 Antibody - Identical to Abcam (ab58420)
- Delivery Days Customer7
- ApplicationsWestern Blot, ELISA, ImmunoHistoChemistry
- CertificationResearch Use Only
- ClonalityPolyclonal
- ConjugateUnconjugated
- HostRabbit
- IsotypeIgG
- Scientific DescriptionRabbit polyclonal antibody to SENP5.
- ReactivityHuman, Mouse
- UNSPSC12352203
